BMVision Kidney AI pilot project
BMVision Kidney AI
Kidney cancer is an increasing health challenge, especially in aging populations. Rising incidence places pressure on healthcare systems, leading to higher workloads and diagnostic delays. Early detection is vital, as five-year survival drops from up to 90% at early stages to 14% at stage 4. Addressing the need for scalable and consistent diagnostic support is therefore a key priority for institutions like UMC.
Open call
OC1 EIC Awardee + Buyer (wave1)
Sector
Healthcare
Buyer information

Universitätsmedizin der Johannes Gutenberg-Universität Mainz
Mainz University Hospital is one of Germany’s leading academic medical centers, affiliated with Johannes Gutenberg University Mainz. It combines patient care, research, and education under one roof and has a dedicated strategy for expanding its digital solutions, actively driving innovation in radiology through the use of advanced software tools.
Solver information

Better Medicine OÜ
Better Medicine is an Estonian health technology company developing AI solutions for radiology. Founded in 2020, it combines medical and technical expertise to support radiologists in cancer diagnostics. Its first product, BMVision, is a CE-certified Class IIa device for kidney cancer detection on CT scans, enhancing diagnostic precision and efficiency through clinically validated AI technology.
Solution
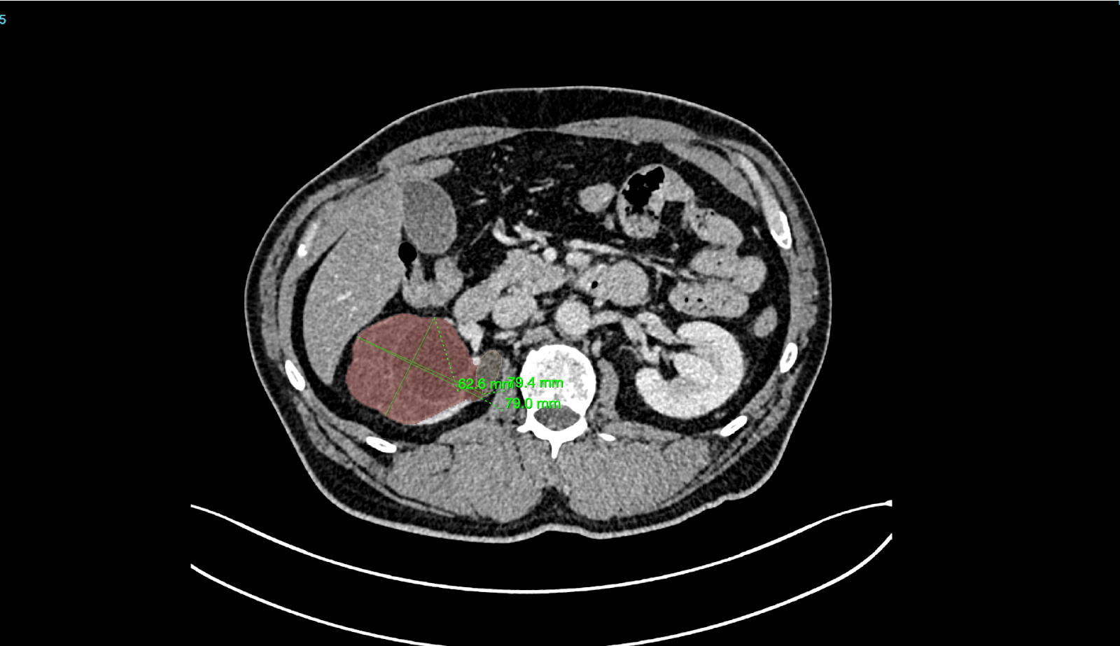
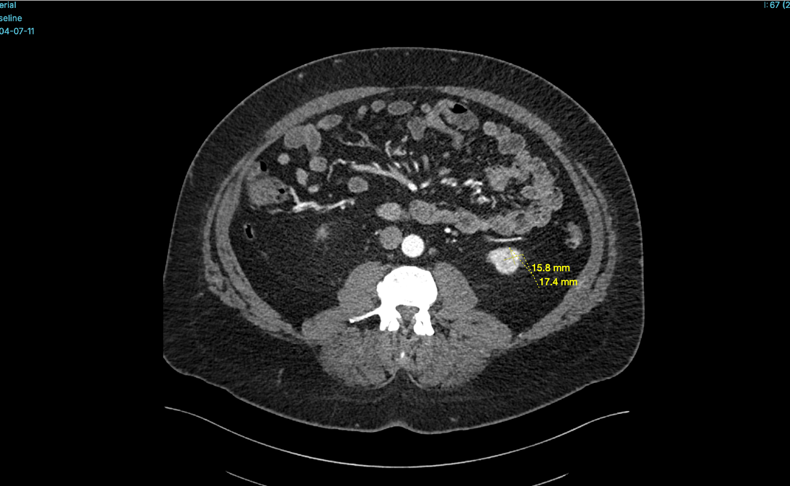
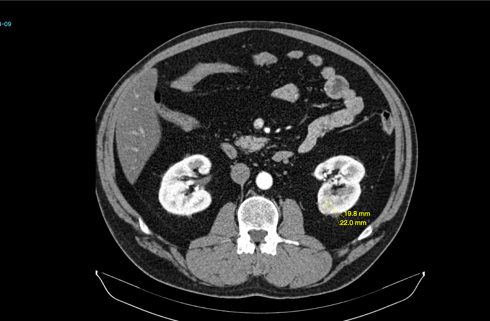
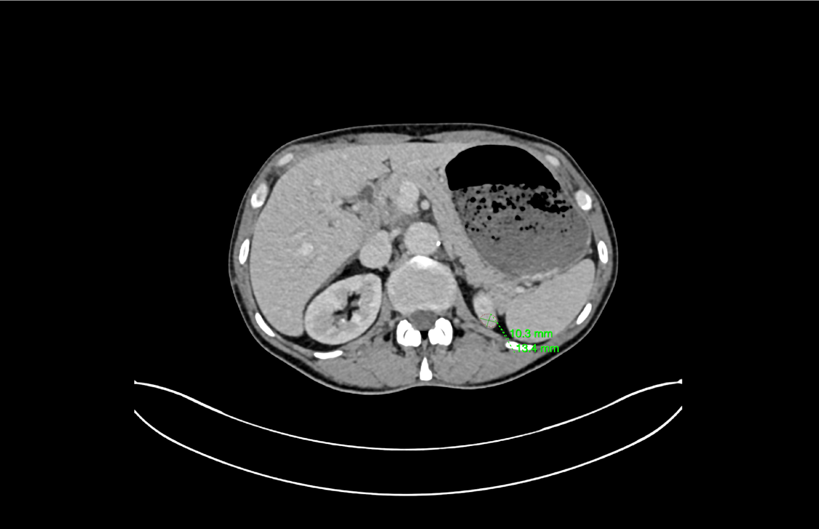
Better Medicine provides an AI-powered radiology solution, BMVision Kidney, designed to enhance diagnostic consistency and speed in kidney cancer detection. It is the first and only CE-certified AI model specifically trained to identify renal tumours from CT scans.
The software runs fully on-premise within UMC’s infrastructure, integrates with existing PACS and viewer systems, and processes CT data in standard formats to deliver interpretable results. Using advanced deep learning, BMVision Kidney automatically detects, segments, and characterises kidney lesions—including incidental findings—with accuracy comparable to radiologists. The solution strengthens diagnostic reliability, reduces variability, and supports faster, more consistent clinical decision-making within UMC’s radiology workflow.




Pilot specific details
Lorem ipsum dolor sit amet, consectetur adipiscing elit. Phasellus ligula elit, suscipit eget gravida ut, vehicula et quam. Nam dolor lectus, sollicitudin eget pulvinar ac, vestibulum sit amet leo. Cras ut lacinia purus. Ut vitae tincidunt elit, dignissim dignissim eros. Integer viverra imperdiet magna ac sodales. Phasellus tristique gravida justo, eget finibus enim egestas sit amet. Mauris maximus ligula sem. Morbi feugiat eget felis ac placerat. Aenean sit amet quam in dolor efficitur imperdiet vitae eu dolor.
€123.4M
Lorem ipsum
38 SMEs
Lorem ipsum
60.000€
Lorem ipsum
50 Pilots
Lorem ipsum
Testimonials
Name Surname
COMPANY
Lorem ipsum dolor sit amet, consectetur adipiscing elit. Phasellus ligula elit, suscipit eget gravida ut, vehicula et quam. Nam dolor lectus, sollicitudin eget pulvinar ac, vestibulum sit amet leo. Cras ut lacinia purus. Ut vitae tincidunt elit, dignissim dignissim eros.
Name Surname
COMPANY
Lorem ipsum dolor sit amet, consectetur adipiscing elit. Phasellus ligula elit, suscipit eget gravida ut, vehicula et quam. Nam dolor lectus, sollicitudin eget pulvinar ac, vestibulum sit amet leo. Cras ut lacinia purus. Ut vitae tincidunt elit, dignissim dignissim eros.
Results
€123.4M
Lorem ipsum
38 SMEs
Lorem ipsum
60.000€
Lorem ipsum
50 Pilots
Lorem ipsum
Lorem ipsum dolor sit amet, consectetur adipiscing elit. Phasellus ligula elit, suscipit eget gravida ut, vehicula et quam. Nam dolor lectus, sollicitudin eget pulvinar ac, vestibulum sit amet leo. Cras ut lacinia purus. Ut vitae tincidunt elit, dignissim dignissim eros. Integer viverra imperdiet magna ac sodales. Phasellus tristique gravida justo, eget finibus enim egestas sit amet. Mauris maximus ligula sem. Morbi feugiat eget felis ac placerat. Aenean sit amet quam in dolor efficitur imperdiet vitae eu dolor.
Lorem ipsum dolor sit amet, consectetur adipiscing elit. Phasellus ligula elit, suscipit eget gravida ut, vehicula et quam. Nam dolor lectus, sollicitudin eget pulvinar ac, vestibulum sit amet leo. Cras ut lacinia purus. Ut vitae tincidunt elit, dignissim dignissim eros. Integer viverra imperdiet magna ac sodales. Phasellus tristique gravida justo, eget finibus enim egestas sit amet. Mauris maximus ligula sem. Morbi feugiat eget felis ac placerat. Aenean sit amet quam in dolor efficitur imperdiet vitae eu dolor.